IHC PART 2: IMMUNOLABELLING, IMMUNOPEROXIDASE (HRP), IMMUNOALKALINE PHOSPHATASE (AP), DAN DOUBLE-IMMUNOLABELLING (HRP- HRP ATAU HRP-AP)
IMMUNOLAABELLING
Imunolabelling adalah proses biokimia dimana antibody dilabel
agar dapat mendeteksi antigen pada sel atau jaringan. Berikut adalah prosedur
sederhana dalam proses immunolabelling:
Gambar 1. Proses Lightning-Link antibody labeling (Innova
Biosciences, 2010)
Terdapat beberapa jenis label yang sesuai untuk proses IHC
yaitu sebagai berikut:
Tabel 1. Immunoassay dan labelnya (Innova Biosciences, 2010).
Immunoassay
|
Labels
|
Immunofluorescence
|
Fluorescent
dyes
|
Immunohistochemistry
|
Enzymes,
Biotin/Streptavidin
|
Immunolabelling dapat dibagi menjadi direct dan indirect labelling. Direct labelling berarti label melekat secara ikatan kovalen pada antibody primer, sedangkan indirect labelling berarti label melekat secara kovalen pada antibody sekunder dimana antibody sekunder tersebut nantinya akan berikatan dengan antibody primer saat proses immunoassay (Innova Biosciences, 2010).
Berikut adalah pros (keuntungan) dan cons (kerugian) dari
direct dan indirect labelling:
Tabel 2. Pros dan Cons dari Direct VS Indirect labelling
(Innova Biosciences, 2010).
Method
|
Pros
|
Cons
|
Direct
|
Quick methodology since only one antibody is used
Non specific binding of secondary antibody is eliminated
|
Immunoreactivity of the primary antibody may be reduced as
a result of labelling
Little signal amplification
|
Indirect
|
Sensitivity is increased because each primary antibody
contains several epitopes that can be bound by the labeled secondary
antibody, allowing for signal amplification
|
Non specific binding may occur with the secondary antibody
Extra incubation and wash steps are required in the
procedure
|
Gambar 2. Gambaran direct labelling (A) dan indirect
labelling (B) (Ramos-Vara, 2005)
Gambar 3. Gambaran direct
labelling dan indirect labelling (Petersen dan Pedersen, 2014)
IMMUNOPEROXIDASE
Teknik IHC menggunakan metode immunoperoxidase
(horseradishperoxidase/HRP) berprinsipkan atas ikatan antigen antibody yang
dilabel dengan enzim peroxidase dimana enzim ini nantinya akan bereaksi dengan substrate/kromogen
dan memberikan gambaran visualisasi keberadaan dan distribusi antigen yang
ingin dilihat pada jaringan.
Ada beberapa metode imunoperoxidase yang digunakan
yaitu: avidin biotin complex (ABC), streptavidin-peroxidase, dan Peroxidase–antiperoxidase (PAP)
1. Avidin Biotin Complex-peroxidase (ABC-HRP)
Metode Avidin Biotin Complex-peroxidase (ABC-HRP) menggunakan enzim
peroxidase yang berikatan dengan ikatan biotin avidin (avidin-biotin-peroxidase).
Avidin dari ikatan tersebut akan berikatan pada biotin pada antibody sekunder.
Peroxidase pada ikatan ABC tersebut akan bereaksi dengan H2O2
yang diberikan bersama kromogen sehingga memberi visualisasi warna pada sel
yang mengandung antigen (pada proses awal antigen diikat dengan antibody primer
kemudian antibody primer diikat antibody sekunder terbiotinilasi, biotin pada
antibody sekunder diikat ABC yang mengandung peroxidase, dan peroxidase pada rangkaian
avidin biotin akan bereaksi dengan substrate H2O2 /
kromogen).
Salah
satu ABC-HRP kit yang sering digunakan adalah Vectastain®ABC Reagent dari
Vector Laboratories. Pada kit ini terdapat Reagent A yang mengandung avidin dan
reagent B yang mengandung Biotinylated horseradish peroxidase (biotinylated
HRP). Penyiapan ABC-HRP dilakukan dengan mencampurkan reagent A kedalam buffer
kemudian ditambah reagent B. Campuran ini disiapkan 30 menit sebelum
penggunaan.
Gambar 4. Gambaran metode Avidin Biotin Complex-Peroxidase
(ABC-HRP) (Ramos-Vara,
2005)
2. Steptavidin-peroxidase
Metode
streptavidin-peroxidase menggunakan enzim peroxidase yang berikatan langsung
dengan streptavidin. Steptavidin yang mengandung peroxidase tersebut akan
mengenali biotin pada antibody sekunder.
Peroxidase yang pada ikatan streptavidin tersebut akan bereaksi dengan H2O2
yang diberikan bersama kromogen sehingga memberi visualisasi warna pada sel
yang mengandung antigen (pada proses awal antigen diikat dengan antibody primer
kemudian antibody primer diikat antibody sekunter terbiotinilasi, biotin pada
antibody sekunder diikat streptavidin yang mengandung peroxidase, dan
peroxidase akan bereaksi dengan substrate H2O2 / kromogen).
3. Peroxidase–antiperoxidase (PAP)
Metode
peroxidase-antiperoxidase (PAP) menggunakan enzim peroxidase yang berikatan dengan
antibodi dimana spesies antibody pada PAP harus sama dengan spesies pada antibody
primer yang digunakan. Jika antibody primer adalah mouse monoclonal maka PAP
juga harus dalam mouse, begitu juga bila antibody primer adalah dalam spesies
rabbit maka antibody pada PAP juga dalam rabbit. Pada metode ini menggunakan
antibody sekunder yang tidak terkonjugasi (unconjugated secondary antibody)
dimana spesies antibodi sekunder merupakan anti-antibody primer yaitu bila antibody
primer adalah mouse maka antibody sekunder adalah anti mouse, begitu juga bila
antibody primer adalah rabbit maka antibody sekunder adalah anti rabbit.
Gambar 6. Gambaran metode Peroxidase–antiperoxidase (PAP) (Ramos-Vara, 2005)
Kromogen pada Metode
Immunoperoxidase
Terdapat
beberapa kromogen yang dapat digunakan pada metode immunoperoxidase
(horseradish peroxidase/HRP) untuk menvisualisasikan reaksi antigen antibody, yaitu
sebagai berikut:
Tabel 3. Kromogen pada reaksi immunoperoxidase (HRP)
seperti diaminobenzidine (DAB), 3-amino-9-ethylcarbazole (AEC), dan
4-chloro-1-naphthol (CN) (Chemicon International, Inc)
Kromogen yang sering
digunakan pada metode immunoperoxidase adalah diaminobenzidine (DAB). Apabila
peroxidase bereaksi dengan H2O2 + DAB akan memberikan
visualisasi warna coklat. DAB tidak larut dalam alcohol sehingga preparat yang
diwarnai DAB dapat melewati proses dehydrate dengan alcohol bertingkat.
Gambar 7. Reaksi
DAB + H2O2 dan peroxidase
Gambar 8. Contoh
gambaran pewarnaan dengan kromogen DAB pada IHC terhadap P53 (warna coklat)
pada Malignat glioma mencit jantan
B6C3F1, dengan counterstained dengan Gill’s hematoxylin (warna
ungu) (Kim et al., 2005)
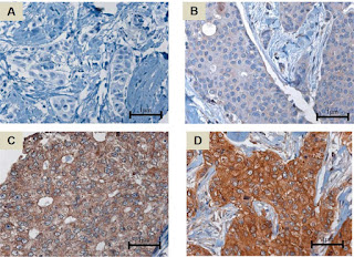
Gambar 9. Contoh
gambaran pewarnaan dengan kromogen DAB pada IHC terhadap COX2 pada Breast cancer. Not stained (A), largely weakly stained (B),
largely moderately stained (C) dan largely strong stained (D), Counterstain:
Hematoxylin (Nes et al., 2010)
Selain DAB, kromogen
yang sering digunakan pada metode immunoperoxidase adalah 3-amino-9-ethylcarbazole (AEC). AEC akan memberi
visualisasi warna merah pada reaksi antigen antibody. AEC bersifat larut dengan
alcohol sehingga tidak dapat melewati perendaman dengan alcohol bertingkat
maupun direndam dalam larutan Harris hematoxylin (karena Harris hematoxylin mengandung
alcohol). Namun tidak semua larutan hematoxylin dibuat menggunakan alcohol, sehingga
preparat yang diwarnai dengan AEC juga dapat di counterstain dengan
hematoxylin.
Gambar 10 Contoh
gambaran pewarnaan dengan kromogen 3-amino-9-ethylcarbazole (AEC, warna merah).
IHC menggunakan antibody CD8 pada otot skeletal mencit dengan metode
streptavidine peroxidase conjugate. Frozen section, counterstained dengan
hematoxylin (warna ungu) (Go´mez
et
al., 1996)
IMMUNOALKALINE
PHOSPHATASE
Metode immunoalkaline phosphatase (alkaline
phosphatase/AP) berprinsipkan atas ikatan antigen antibody yang dilabel dengan
enzim alkaline phosphatase dimana enzim ini nantinya akan bereaksi dengan substrate/kromogen
dan memberikan gambaran visualisasi keberadaan dan distribusi antigen yang
ingin dilihat pada jaringan.
Ada beberapa metode alkaline phosphatase yang
digunakan yaitu: avidin biotin complex –alkaline phosphatase (ABC-AP), streptavidin-alkaline
phosphatase dan alkaline phosphatase anti alkaline phosphatase (APAAP)
1. Avidin Biotin Complex-alkaline phosphatase (ABC-AP)
Metode Avidin Biotin Complex-alkaline phosphatase (ABC-AP) menggunakan
enzim alkaline phosphatase yang berikatan dengan ikatan biotin avidin
(avidin-biotin-alkaline phophatase). Avidin dari ikatan tersebut akan berikatan
pada biotin pada antibody sekunder. Alkaline phosphatase pada ikatan ABC
tersebut akan bereaksi dengan substrate yang diberikan (substrate mengandung
phosphate) sehingga memberi visualisasi warna pada sel yang mengandung antigen
(pada proses awal antigen diikat dengan antibody primer kemudian antibody
primer diikat antibody sekunder terbiotinilasi, biotin pada antibody sekunder
diikat ABC yang mengandung alkaline phosphatase, dan alkaline phosphatase akan
bereaksi dengan substrate/kromogen).
ABC-AP kit
yang sering digunakan pada prosedur IHC adalah Vectastain®ABC-AP Reagent dari
Vector Laboratories. Pada kit ini terdapat Reagent A yang mengandung avidin dan
reagent B yang mengandung Biotinylated alkaline phosphatase (biotinylated AP).
Penyiapan ABC-AP dilakukan dengan mencampurkan reagent A kedalam buffer
kemudian ditambah reagent B. Campuran ini disiapkan 30 menit sebelum
penggunaan.
Gambar 11. Gambaran metode avidin biotin complex - alkaline phosphatase (ABC-AP)
2. Streptavidin-alkaline
phosphatase
Metode
streptavidin-alkaline phosphatase menggunakan enzim alkaline phosphatase yang
berikatan langsung dengan streptavidin. Steptavidin yang mengandung alkaline
phosphatase tersebut akan mengenali biotin pada antibody sekunder. Alkaline phosphatase pada ikatan streptavidin
tersebut akan bereaksi dengan substrate yang diberikan (substrate mengandung
phosphate) sehingga memberi visualisasi warna pada sel yang mengandung antigen
(pada proses awal antigen diikat dengan antibody primer kemudian antibody
primer diikat antibody sekunder terbiotinilasi, biotin pada antibody sekunder
diikat streptavidin yang mengandung alkaline phosphatase, dan alkaline
phosphatase akan bereaksi dengan substrate/kromogen).
Gambar 12. Gambaran metode streptavidin-alkaline phosphatase
(streptavidin-AP)
3. Alkaline
phosphatase anti alkaline phosphatase (APAAP)
Metode
alkaline phosphatase anti alkaline phosphatase (APAAP) memiliki prinsip yang
sama dengan metode peroxidase-antiperoxidase (PAP). Metode APAAP menggunakan enzim alkaline
phosphatase yang diikat dengan antibodi dimana spesies antibody pada APAAP
harus sama dengan spesies antibody primer yang digunakan yaitu bila spesies
antibody primer adalah mouse maka antibody pada APAAP juga dalam mouse. Pada
metode ini juga menggunakan antibody sekunder yang tidak terkonjugasi
(unconjugated secondary antibody) dimana spesies antibodi sekunder merupakan
anti-antibody primer yaitu bila spesies antibody primer adalah mouse maka
antibody sekunder adalah anti mouse.
Gambar 13. Gambaran
metode alkaline phosphatase anti alkaline phosphatase
(APAAP) (Cordell et al., 1984).
Kromogen pada Metode Immunoalkaline
phosphatase (AP)
Tabel 4. Substrate/kromogen
pada reaksi immunoalkaline phosphatase (AP) seperti Naphthol AS B1
phosphate/fast red TR (NABP/FR), Naphthol AS MX phosphate/fast red TR
(NAMP/FR), Naphthol AS B1 phosphate/new fuschin (NABP/NF) dan
Bromochloroindolyphosphate/nitro blue tetrazolium (BCIP/NBT) (Chemicon International, Inc)
Gambar 14. Contoh gambaran pewarnaan immunoalkaline
phosphatase dengan substare/kromogen Naphthol phosphate/Fast Red. IHC menggunakan
antibody polyclonal antiflavivirus pada sel Purkinje yang terinfeksi virus di
cerebellum (Mellissa et al., 2004).
Gambar 15. Contoh gambaran pewarnaan immunoalkaline
phosphatase dengan substare/kromogen Bromochloroindolyphosphate/Nitro blue
tetrazolium (BCIP/NBT). IHC menggunakan antibody terhadap p-STAT3 pada
colorectal adenocarcinoma (Kusaba et al.,
2005).
DOUBLE-IMMUNOLABELLING (HRP- HRP ATAU HRP-AP)
Penggunaan teknik double immunolabelling bertujuan
untuk melihat atau menganalisis keberadaan maupun distribusi dari 2 antigen
yang berbeda pada satu slide jaringan yang sama. Teknik yang digunakan dapat
berupa metode immunoperoxidase – peroxidase (HRP-HRP) atau metode immunoperoxidase
yang diikuti metode immunoalkaline phosphatase (HRP-AP). Prinsipnya yaitu
dilakukan pengulangan metode pewarnaan sebanyak 2 kali namun antibody untuk
antigen A harus berbeda spesies dengan antibody yang digunakan untuk antigen B
dan keduanya harus diwarnai dengan kromogen yang berbeda warna dan kontras.
Penggunaan teknik IHC HRP-HRP dilakukan dengan 2
kali prosedur pewarnaan HRP. Sebagai contoh pertama-tama dilakukan prosedur
lengkap immunopexidase (HRP) pada slide untuk antigen A dengan menggunakan
antibody spesies mouse. Setelah prosedur HRP pertama selesai, pada slide yang
sama diulang kembali prosedur immunolabelling (HRP) untuk antigen B. Pada
antigen B digunakan antibody yang spesiesnya berbeda dengan spesies antigen A,
misalnya pada antigen B menggunakan antibody dalam spesies rabbit.
Penggunaan teknik IHC HRP-AP juga memiliki prinsip
yang sama dengan HRP-HRP. Pada teknik HRP-AP pertama-tama dilakukan prosedur
lengkap untuk immunoperoxidase kemudian dilakukan prosedur untuk immunoalkaline
phosphatase. Sebagai contoh pertama-tama dilakukan prosedur lengkap
immunopexidase (HRP) pada slide untuk antigen A dengan menggunakan antibody
spesies mouse. Setelah prosedur HRP pertama selesai, pada slide yang sama
diulang kembali prosedur immunoalkaline phosphatase (AP) untuk antigen B. Pada
antigen B juga digunakan antibody yang spesiesnya berbeda dengan spesies
antigen A, misalnya pada antigen B menggunakan antibody dalam spesies rabbit.
Gambar 16. Gambaran metode immunolabelling HRP-AP
(dimodifikasi dari Vector Laboratories, Inc. 2005)
Gambar 17. Contoh gambaran pewarnaan immunolabelling
HRP-HRP pada antigen M2A dan CD34. Antigen M2A diwarnai dengan metode ABC-HRP
dengan substrate bewarna ungu dan antigen CD34 diwarnai dengan metode ABC-HRP
dengan substrate bewarna biru/abu-abu (Vector Laboratories, Inc. 2005)
Gambar 18. Contoh gambaran pewarnaan immunolabelling
HRP-AP pada antigen M2A dan CD34. Antigen M2A diwarnai dengan metode ABC-HRP dengan
substrate bewarna merah dan antigen CD34 diwarnai dengan metode ABC-AP dengan
substrare bewarna biru (Vector Laboratories, Inc. 2005)
Pada teknik ini sebaiknya keberadaan antigen A dan B
yang diwarnai berbeda lokasi terutama keberadaannya pada sel. Misalnya antigen
A pada nucleus dan B pada sitoplasma. Hal ini dikarenakan apabila antigen A dan
B berada dalam satu lokasi misalnya sama-sama disitoplasma akan terjadi
penumpukan warna yang mungkin sulit untuk dianalisis. Untuk kasus yang
melibatkan keberadaan antigen yang terletak pada satu lokasi yang sama pada sel
disarankan menggunakan metode immunofluorescence karena adanya perbedaan
panjang gelombang pada setiap warna fluorescence yang memungkinkan sel pada
slide yang sama dapat dilihat dan dianalisa dengan baik dengan mikroskop
fluorescence.
Daftar pustaka
Cordell,
J.L., Falini, B., Erber, W.N., Ghosh, A.K., Abdulaziz, Z., Macdonald, S.,
Pulford, K.A.F., Stein, H., dan Mason, D.Y., 1984. Immunoenzymatic Labeling of
Monoclonal Antibodies Using Immune Complexes of Alkaline Phosphatase and
Monoclonal Anti-alkaline Phosphatase (APAAP Complexes), The Journal of Histochemistry and Cytochemistry, 32(2):219-229.
Go´mez, R.M.,
Rinehart, J.E., Wollmann, R., Roos, R.P., 1996. Theiler’s murine
encephalomyelitis virus-induced cardiac and skeletal muscle disease. Journal
of virology. 70 (12): 8926–8933.
Innova
Biosciences, 2010 .http://www.biomol.de/details/IN/Innova_Guide_Antibody_Labeling_
biomol.pdf
Kim, Y., Hong,
HH., Lachat, Y., Clayton, N.P., Devereux, T.R., Melnick, R.L., Hegi, M.E, dan
Sills, R.C., 2005. Genetic alterations in brain tumors following 1,3-butadiene
exposure in B6C3F1 mice. Toxicol Pathol.,
33(3):307-12.
Kusaba,T., Nakayam, M., Yamazumi, K., Yakata, Y.,
Yoshizaki, A., Nagayasu, T., dan Sekine, I., 2005. Expression of p-STAT3 in
human colorectal adenocarcinoma and adenoma; correlation with
clinicopathological factors J Clin Pathol, 58:833-838.
Melissa M. Cushing,
Daniel J. Brat, Mario I. Mosunjac,
Randolph A. Hennigar, Daniel B. Jernigan, MD, Robert Lanciotti, Lyle R.
Petersen, Cynthia Goldsmith, Pierre E. Rollin, Wun-Ju Shieh, Jeannette Guarner, and Sherif
R. Zaki, 2004. Fatal West
Nile Virus Encephalitis: Pathologic Findings. American Journal of Clinical
Pathology. 121(1)
Nes , J.G.H.V., Esther M. de Kruijf , Dana Faratian , Cornelis J. H. van de Velde,
Hein Putter , Claire Falconer , Vincent T. H. B. M. Smit, Charlene Kay , Marc
J. van de Vijver , Peter J. K. Kuppen , John M. S. B. 2010.COX2 expression in prognosis and in prediction to endocrine therapy in
early breast cancer patients, Breast Cancer Res Treat, Springer
Petersen,
K., dan Pedersen, H.C., 2014. Part I: The Staining Process, Detection Methods.
Chapter 6. Agilent technologies. Dako. http://www.dako.com/ihc-guidebook-detection-methods-chapter6.pdf
Ramos-Vara,
J.A., 2005. Technical Aspects of Immunohistochemistry. Vet. Pathol., 42:405–426
Thermofisher
Scientific, 2015. https://www.thermofisher.com/my/en/home/life-science/protein-biology/protein-biology-learning-center/protein-biology-resource-library/pierce-protein-methods/ihc-immunodetection.html
Vector Laboratories, Inc. 2005. Discovery through color A Guide to Multiple Antigen Labeling http://www.vectorlabs.com



















