POTENSI CURCUMIN DALAM MENINGKATKAN KEMAMPUAN MEMORI DAN MENGHAMBAT APOPTOSIS PADA MODEL ALZHEIMER
Curcumin yang merupakan komponen aktif tumeric (Curcuma longa) biasa digunakan sebagai
kari pedas (masakan). Curcumin digunakan dalam pengobatan herba pada manusia
maupun hewan serta diteliti dalam bidang biomedis. Pada manusia curcumin
digunakan sebagai obat herbal untuk pengobatan kondisi inflamasi, kanker, AIDS,
dan penyakit lainnya. Berdasarkan laporan dari Kellon (2012), curcumin juga
digunakan pada pengobatan hewan. Curcumin dilaporkan dalam terapi melanoma pada
kuda. Dosis penggunaan curcumin yang aman pada kuda adalah 329-480 grams (11.6-16.9 ons). Dilaporkan 3 kuda dengan pertumbuhan dan penyebaran melanoma yang
diberi 1-3 ons/hari dari tumeric menunjukkan pertumbuhan dan penyebaran
melanoma terhenti. Namun sifat melanoma tidak terprediksi sehingga kasus ini
tidak bisa menjadi acuan pasti pada terapi melanoma pada kuda dengan
menggunakan curcumin.
Gambar
1. Curcumin (Turchiano, 2014)
Secara epidemiologi di India dimana tumeric digunakan
secara rutin pada kehidupan sehari-hari, menunjukkan kejadian penyakit
Alzheimer (AD) antara umur 70-79 tahun empat kali lebih rendah dibanding di
Amerika. Peneliti menggunakan hewan transgenik untuk menginvestigasi efek
curcumin. Hasil meunjukkan dosis rendah curcumin signifikan menurunkan
inflamatori sitokin IL-1, menurunkan dampak oksidatif dan pembentukan plak,
serta menurunkan amyloid. Dibandingkan dengan
obat antioksidan seperti NSAID atau ibuprofen, curcumin memiliki lebih
sedikit efek samping.
Penyakit Alzheimer dikarakteristikan dengan adanya
akumulasi yang progresif dari amyloid beta peptid (Aß), neurofibrillary tangles
(NFTs), dan hiperfosforilasi microtubule-asosiated tau protein. Sebagian besar
area yang berpengaruh pada proses learning dan memori seperti hipokampus dan
korteks frontalis menunjukkan apoptosis pada neuron yaitu beberapa tahun sebelum gejala klinis
terlihat. Pada saat ini belum ada pengobatan terhadap AD dan hal ini menjadi
ketertarikan para peneliti dalam bidang bimedis untuk menemukan obat yang dapat
menghambat proses penyakit ini. Obat yang tersedia di pasaran saat ini adalah
inhibitor terhadap asethylcholine esterase dan N-methyl D aspartate (NMDA)
reseptor antagonis. Obat tersebut meningkatkan kemampuan neuron yang masih utuh
namun tidak menghambat terjadinya proses degeneratif yang menyebabkan kematian
sel neuronal.
Diduga metal seperti besi dan tembaga (tapi tidak zinc)
pada beta amyloid terkonsentrasi pada Penyakit Alzheimer (Alzeimer disease /
AD) dan curcumin dapat mengikatnya. Kemampuan curcumin mengikat metal ini mungkin
dapat menjadi salah satu mekanisme yang potensial untuk mereduksi amyloid. Secara in vivo, curcumin dapat melindungi sel
dari beta amyloid dan oksidatif akibat stres melalui jalur antioksidan. Pada
studi sebelumnya dibuktikan curcumin dapat mennginduksi peningkatan kognisi
dengan mempengaruhi sistem kholinergik dan aktivitas antioksidan. Namun studi
ini belum selesai, dan perlu diinvestigasi bagaimana mekanisme neuroprotektan
curcumin ini.
Berikut adalah potensi neuroprotektif curcumin
berdasarkan penelitian Rui et al. (2008) dengan judul ”Curcumin
Improves Learning and Memory Ability, Its
Neuroprotective Mechanism In Mice” (oleh Pan Rui, Qiu Sheng, Lu
DaXiang, and Dong jun. Chin Med J, 2008;121(9):832-839)
Diduga kematian neuron terjadi secara apoptosis pada
penyakit Alzheimer (AD). Disfungsi mitokondria berpengaruh pada proses kematian
sel neuronal tersebut. Salah satu pengembangan terhadap usaha pencegahan AD
yaitu pengembangan anti-apoptosis untuk menurunkan kematian pada sel syaraf.
Pada studi ini, diobservasi peningkatan memori melalui curcumin pada mencit dan
diinvestigasi efek cucumin secara in vitro dan in vivo. Metode yang digunakan
yaitu dengan pemberian AlCl3 secara oral dan injeksi D-Galactose
secara intraperitoneal selama 90 hari untuk mendapatkan model hewan AD. Dari hari
ke 45, grup curcumin diberi perlakuan curcumin selama 45 hari. Perubahan
neuropatologi pada hipokampus dan ekpresi Bax dan Bcl-2 digunakan untuk
mengevalusi efek curcumin pada model hewan AD. Pada kultur sel PC12, AlCl3
digunakan untuk menginduksi apoptosis. Analisis flow cytometri digunakan
untuk melihat level apoptosis sel. DNA-binding fluorochrome Hoeschst 33258
digunakan untuk mengobservasi perubahan nuclei pada sel yang apoptosis, dan
western blot untuk menganalisis Bax, Bcl-2 untuk menginvestigasi mekanisme
curcumin dalam memproteksi sel dari toksisitas (Rui et al., 2008).
METODE
(IN VIVO dan IN VITRO)
IN VIVO
Hewan
model AD
Mencit kunming betina (n=30) dengan berat antara 18-22
gram yang dipelihara di Guangdong
Experimental Animal Center (sertifikat no: 0031627). Mencit dipelihara pada
kandang individu dengan dengan
temperatur 24±2 °C, dan kelembapan 60±10%, dengan siklus terang-gelap 12 jam.
Mencit diberi makan dan minum secara ad libitum. Penggunaan hewan penelitian
berdasarkan Internationally accepted
ethical guidelines (Rui et al., 2008).
Mencit dibagi menjadi tiga kelompok secara random
yaitu grup kontrol, grup model AD, grup curcumin. Seluruh mencit di beri
perlakuan AlCl3 (10 mg/kg berat badan) secara per oral serta
D-galactose (120mg/kg berat badan)
secara intraperitneal selama 90 hari untuk membuat kondisi model AD, kecuali
pada grup kontrol. Dari hari ke 45curcumin (200 mg/kg) yang dilarutkan dalam 1%
carboxymethyl celulose (CMC) diberikan secara per oral selama 45 hari. Grup
kontrol maupun grup model AD juga diberikan 1% CMC dengan dosis yang sama. Setelah 90 hari otak mencit diambil untuk
diproses ke tahap histologi dan western blot (Rui et al., 2008).
Analisis
Histologi
Hewan diperfusi secara intakardial dengan memasukkan larutan
fiksasi ke ventrikel kiri. Kemudian otak diambil dan dimasukkan ke 4% neutral
buffered paraformaldehyde selama 24 jam. Otak lalu diblok dengan parafin dan
dipotong secara koronal dengan ketebalan 30μm yang kemudian diwarnai dengan
Hematoxylin dan Eosin (HE) (Rui
et al., 2008).
Analisis
Western Blot
Otak diambil secara cepat dengan kondisi diletakkan
pada es kemudian dibekukan. Protein diekstraksi dengan homogenisasi pada 7
volume buffer lisis dingin, kemudian disentrifuse pada 10.000-14.000 x g pada
4°C selama 3 menit. Protein yang didapat disimpan pada suhu -80°C sampai akan
digunakan untuk dianalisis (Rui
et al., 2008).
Tujuh puluh μg ekstraksi protein dilarutkan dalam 2x
SDS loading buffer kemudian di masukkan ke 12% SDS-polyacrilamide denaturing
gel. Setelah dielektroforesis 30 menit pada 80 volt dan 60 menit pada 120 volt, gel di transfer ke membran
nitrocellulose dengan electrofhoretic
transfer pada 200mA selama 2 jam. Kemudian membran dicuci dengan TBS selama
30 menit dan diinkubasi dengan TBST (TBS yang mengandung 0,1% tween 20) yang
ditambah dengan 5% non-fat milk selam 2 jam untuk memblok ikatan protein yang
tidak spesifik. Membran dipotong berdasarkan marker dan diinkubasi dengan antibody
monoclonal Bcl-2 atau Bax (masing-masing 1:200) semalan pada suhu 4 °C.
Kemudian membran dicuci 3 kali dengan TBST dan diinkubasi dengan horseradish
peroxidase linked secondary antibody selama 1 jam (1:2000). Lalu dicuci 3 kali
dengan TBST dan ECL detection reagent (Rui et al., 2008).
IN VITRO
Kultur sel
Kultur dilakukan pada medium DMEM dengan antibiotik
penicilin G 1000 U/ml, streptomisisn 100 μmg/ml, 10% horse serum dan 10% fetal
bovine serum pada 37°C didalam inkubator CO2 5%. Konsentrasi sel yaitu 5x103/cm2.
Sel PC12 (pheochromocytoma cell line) dapat berdifferensiasi menjadi neuron
simpatetik setelah diekspos dengan nerve growth factor (NFG) 50ng/ml. Pada
studi ini digunakan PC12 yang telah terdiferensiasi (Rui et al., 2008).
Apoptosis pada
kultur sel
Pada eksperimental, AlCl3 merupakan sumber
dari Al3+ untuk menginvestasi efek pada morfologi sel dan kelangsungan hidup sel. AlCl3 yang
digunakan diencerkan 100 x dari stok awal dengan 0,9% sodium chloride dan
ditambahkan pada medium pertumbuhan dengan konsentrasi 10, 100, 500, 1000
μmol/L. Kultur kontrol ditambahkan dengan 0,9% sodium chloride. Perubahan pH
pada medium yang diberi perlakuan AlCl3 pada kultur media
ditingkatkan menjadi 7,3±0,2 dengan NaHCO3 (Rui et al., 2008).
Curcumin untuk kultur sel dilarutkan daam
dimethylsulfoxide (DMSO) dan disimpan pada ruang gelap suhu -20 °C. Curcumin
dicampurkan pada medium DMEM dengan konsentrasi DMSO 0,1%, dengan level
curcumin yaitu 20, 40, 80, 160 μmol/L pada sel kultur PC 12 yang telah terdiferensiasi
(Rui et al., 2008).
Berdasarkan studi, AlCl3 (1000μmol/L) dipilih untuk
diinkubasi pada sel PC12 yang telah terdiferensiasi. Setelah 12 jam inkubasi,
20, 40, 80 μmol/L curcumin ditambahkan ke sel (Rui et al., 2008).
Pengamatan
morfologi nuclear
Sel dicuci dengan PBS dingin 2 kali dan difiksasi
dengan 4% formaldehyde pada suhu 4°C 10 menit. Sel yang telah terfiksasi dicuci
dan dilabel dengan Hoechst 33258 (5μg/ml) pada suhu ruang dalam kondisi gelap
selama 10 menit. Kemudian diamati dengan mikroskop fluorescense dengan filter
360 nm (Rui et al., 2008).
Analisis
Annexin V/PI
Marker Annexin/PI dianalisis menggunakan flowcytometri
untuk menganalisis apoptosis bedasarkan ikatan protein annexin v dengan
phosphatidyl serin dan juga nekrosis dengan PI (Rui et al., 2008).
Analisis
Western Blot
Setelah sel diberi perlakuan, sel dicuci dengan PBS
dingin 2 kali dan dilakukan ekstraksi protein pada es selama 30 menit. Setelah
disentrifuse, 30μg protein yang diekstraksi
dirunning pada 12%
SDS-polyacrilamide gel. Prosedur selanjutnya sama dengan prosedur westernblot
sebelumnya. Antibodi yang digunakan
adalah monoclonal Bcl-2 atau Bax (masing-masing 1:100), kemudian
diinkubasi dengan horseradish peroxodase linked secondary antibody
(1:1000) (Rui et al., 2008).
HASIL DAN
PEMBAHASAN
Secara In vivo, kombinasi pemberian AlCl3 dan D-galactose selama 90 hari dapat menginduksi gangguan memori
pada mencit yang menunjukkan patogenetik yang mirip dengan AD sehingga dapat
digunakan sebagai hewan model AD. Al dapat menginduksi neuropatologi antara
lain dengan oksidasi, apoptosis, dll) sehingga dapat memberikan gambaran yang
mirip AD. Pemberian dosis rendah D-galactose secara kronis dapat menginduksi
natural aging, memperpendek masa hidup, disfungsi kognisis, neurodegenerasi,
oksidasi, penurunan sistem imun, dan perubahan transkripsi gene. Penggunaan
D-galactose sudah unum untuk percobaan aging dan screening obat. Diduga pemberian
curcumin secara signifikan dapat meningkatkan kemampuan learning (Rui et al., 2008).
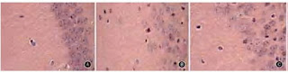
Melalui pewarnaan HE
terlihat karakteristik perubahan neuropatologi di hipokampus pada model
hewan AD. Pada grup kontrol neuron terlihat utuh, rapat, dan nucleus jelas
terwarnai. Bila dibandingkan dengan hewan model, sitoplasma mengkerut, nukleus
permindah posisi, terwarna gelap, terdapat neurofibrillary degenerasi, dan
kehilangan neuron di hipokampus. Dengan adanya pemberian curcumin, secara
signifikan menurunkan perubahan nuropatologi. Neuron terlihat lebih baik dari
segi bentuk dan intinya didbanding hewan
model AD (Rui et al., 2008).
Gambar 2. Perubahan neuropatologi pada hipokampus dari
model hewan yang diinduksi AlCl3 dan
D-galactose dengan pewarnaan HE. A: grup kontrol. B: grup model AD. C: grup curcumin (Rui et al., 2008).
Perubahan level Bcl-2 dan bax dimitokondria digunakan untuk
menentukan apoptosis. Antibodi Bcl-2/Bax diindentifikasi dengan pita protein
dengan berat molekul 27/21 kD. Pemberian AlCl3 dan D-galactose menyebabkan down-regulasi Bcl-2.
Namun tidak menunjukkan hasil yang
signifikan pada Bax. Curcumin memiliki potensi anti-apoptosis dengan up-regulasi
level Bcl-2 (Rui et al., 2008).
Gambar 3. Analisis Bax dengan western blot dari
jaringan otak. Line 1: grup kontrol. Line 2: grup model AD. Line3: grup
curcumin (Rui et al., 2008).
Gambar 4. Analisis Bcl-2 dengan western blot dari
jaringan otak. Line 1: grup kontrol.
Line 2: grup model AD. Line3: grup curcumin (Rui et al., 2008).
Secara in vitro, Sel PC12 yang diekspos dengan 10,
100, 500, 1000 μmol/L AlCl3 pada medium pertumbuhan selama 3 hari. Pada jam ke 48, sel
yang diberi perlakuan AlCl3 menunjukkan agregat abnormal, badan sel
mengkerut, degenerasi pada prosesus dibandingkan sel yang tidak diberi
perlakuan. Kemampuan sel juga menurun pada sel yang diberi AlCl3. Ketika
dosis yang digunakan 1000 μmol/L AlCl3, viabilitas sel menurun
sekitar 62±2 % dari kontrol (Rui
et al., 2008).
Terjadinya apoptosis dapat dikonfirmasi dengan melihat
morfologi nukleus pada sel yang diberi perlakuan. Inti sel yang diberi AlCl3
terlihat mengkerut dengan bentuk yang ireguler dan degradasi, adanya agregat
dan fragmentasi kromatin. Pada grup kontrol, kebanyakan nukleus
memiliki bentuk yang regular, bulat dan berukuran besar. Pemberian curcumin (20
dan 40 μmol/L) dan AlCl3 co-treated menunjukkan kondensasi DNA tapi
tidak fragmentasi DNA. Pemberian 80 μmol/L curcumin menunjukkan bentuk yang irreguler
dan fragmentasi DNA (Rui et al., 2008).
Gambar 5. Gambaran
fluorescence pada sel yang telah diekpos dengan AlCl3 setelah 72 jam,
dengan maupun tanpa curcumin. A: sel kontrol, B: sel yang diberi perlakuan AlCl3,
C,D,E: sel yang diberi AlCl3 dan curcumin (20, 40, dan 80 ) μmol/L (Rui et al., 2008).
Dengan marker propidium iodide (PI) dan annesin v-FITC melalui metode
flowcytometri, dapat diketahui tahapan apoptosis (early, late, dead cell).
Annesin FITC- PI- menunjukkan sel masih
utuh, Annesin FITC+ PI- dalam tahap early
apoptosis, Annesin FITC + PI+ dalam tahan late apoptosis/nekrosis. AlCl3
secara signifikan meningkatkan jumlah apoptosis dibanding grup kontrol. Sel
yang diinkubasi dengan AlCl3 dan curcumin (20 dan 40 μmol/L) secara
bersamaan menunjukkan jumlah apoptosis yang lebih rendah dibanding model grup.
Pemberian curcumin 80μmol/L tidak menunjukkan hasil yang protektif terhadap
intoksikasi AlCl3. Permberian curcumin dapat menghambat aktivitas
AlCl3 dalam menginduksi apoptosis (Rui et al., 2008).
Gambar 6. Analisa flow
cytometric pada sel apoptosis dan necrosis. A: sel kontrol, B: sel yang diberi
perlakuan AlCl3 (1 mmol/L),
C, D, E: sel yang diberi perlakuan AlCl3 dan curcumin (20, 40, dan 80 μmol/L)
(Rui et al., 2008).
Dengan analisa western blot, level anti apoptosis
Bcl-2 menurun pada model AlCl3 dibanding kontrol. Sel yang
diinkubasi dengan curcumin (20 dan 40 μmol/L) secara bersamaan AlCl3
menunjukkan level Bcl-2 yang lebih tinggi dibanding model AlCl3.
Namun tidak terlihat hasil yang signifikan terhadap Bax (Rui et al., 2008).
Gambar 7. Analisis Bax dan Bcl-2 dengan western
blotsel PC12. Line 1: grup kontrol. Line 2: grup model AD. Line3-5: grup
curcumin (20, 40, 80 μmol/L) (Rui et al., 2008).
KESIMPULAN
Hasil menunjukkan curcumin menurunkan perubahan
neuropatologi dan menghambat apoptosis dengan mengingkatkan level Bcl-2, namun
tidak terjadi perubahan pada level Bax. AlCl3 secara signifikan menurunkan
kelangsungan hidup atau avibilitas sel PC12. Curcumin meningkatkan kelangsungan
hidup sel PC12 pada kondisi adanya induksi AlCl3. Level apotosis
meurun pada grup curcumin dari analisis melalui flow cytometri. Disimpulkan
curcumin dapat meningkatkan kemampuan memori pada mencit AD dan menghambat
apoptosis pada kultur sel PC12 yang diinduksi AlCl3. Mekanismenya
yaitu dengan meningkatkan Bcl-2. Berdasarkan
hasil studi ini, dapat disimpulkan bahwa curcumin berpotensi sebagai obat
anti-apoptosis untuk pencegahan penyakit Alzheimer (Rui et al., 2008).
DAFTAR
PUSTAKA
Rui, P., Sheng, Q., DaXiang, L., dan Jun, D., 2008.
Curcumin Improves Learning and Memory Ability, Its Neuroprotective Mechanism In Mice. Chin Med J, 121(9):832-839)
Turchiano, R., 2014. New Research Adds Spice to
Curcumin’s Health-Promoting Benefits.
http://clinicalnews.org/2014/11/06/new-research-adds-spice-to-curcumins-health-promoting-benefits/
Kellon, E., 2012. The
case for curcumin. Integrative veterinary care journal. Http://ivcjournal.com/the-case-for-curcumin/






